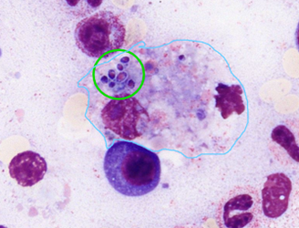
HLH Syndrome: demonstration of hemophagocytosis on bone marrow touch prep:
Eine 66-jährige Frau mit einer Roux-en-Y-Magenbypass-Operation in der Vorgeschichte, mehreren Monaten Nachtschweiß und 29 kg Gewichtsverlust wurde mit einer COVID-19-Infektion und einem Harnwegsinfekt eingeliefert. Die Laboruntersuchung ergab einen Hb-Wert von 6,9 g/dL, eine Thrombozytenzahl von 18 x 10^9/L, LDH 1078 U/L und Ferritin 29244 mcg/L. Das PET-CT zeigte einen prominenten Thorako-abdominalen Lymphknoten, und die Lymphknotenbiopsie ergab ein klassisches Hodgkin-Lymphom vom nodulär sklerosierenden Typ. Es wurde eine Knochenmarksbiopsie durchgeführt, bei der die folgende Zellpopulation festgestellt wurde:
Obwohl die Patientin an einem klassischen Hodgkin-Lymphom erkrankt war, wurde die Lymphom-Diagnose erst in einem sehr späten Stadium des Krankheitsverlaufs gestellt, mit anschließender Progression zu einer hämophagozytischen Lymphohistiozytose.
HLH ist ein seltenes, aber zunehmend anerkanntes Syndrom, das mit einer hohen Sterblichkeit einhergeht. Das größte Hindernis für einen erfolgreichen Ausgang ist häufig eine Verzögerung der Diagnose aufgrund der Seltenheit dieses Syndroms, der variablen klinischen Präsentation und der mangelnden Spezifität der klinischen und Laborbefunde. Für die Identifizierung der zugrunde liegenden Ursache und eine rechtzeitige Behandlung ist ein hoher Verdachtsindex erforderlich.
Für weitere Informationen senden Sie bitte eine E-Mail an: sng@sng-consult.de
Quellenangaben
- Saadiya Nazli, M.B.B.S. Resident, Anatomic & Clinical Pathology
Mayo Clinic @docsaadiya, and Rong He, M.D. Consultant, Hematopathology
Mayo Clinic, Professor of Laboratory Medicine and Pathology, Mayo Clinic College of Medicine and Science (Mayo Clinic Laboratories / Pathways Case Studies- Insights) - Tanya Sajan Ponnatt, Cullen M. Lilley, Kamran M. Mirza; Hemophagocytic Lymphohistiocytosis. Arch Pathol Lab Med 1 April 2022; 146 (4): 507–519. https://doi.org/10.5858/arpa.2020-0802-RA
- DGHO Deutsche Gesellschaft für Hämatologie und Medizinische Onkologie e.V. Onkopedia Leitlinie August 2024: Hämophagozytische Lymphohistiozytose (HLH)
- Prof. Dr. med. Roland Fuchs, PD Dr. med. Peter Steib in Zusammenarbeit mit R. Herwartz, E. Jost, K. Lehnert, S. Winzenried. Hämatologie 2025, 35. Auflage (unter der Schirmherrschaft der DGHO Deutsche Gesellschaft für Hämatologie und Medizinische Onkologie e.V.)
- Anne Marie Asemissen, Sabine Haase & DGHO Deutsche Gesellschaft für Hämatologie und Medizinische Onkologie e.V. / eLCH Curriculum Hämatologie (Account Dr. Simona Nistor-Grahl / ehaematology.com)
Januar 2026




